Implant Tooth Structure
How Many Parts
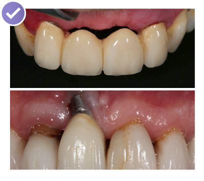
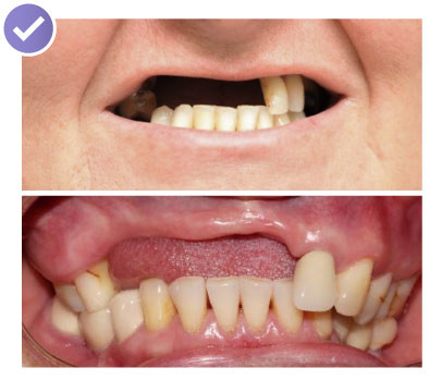
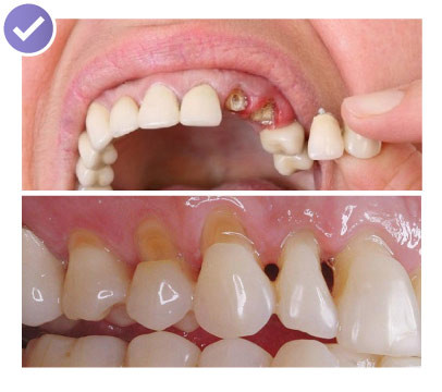
Dental implant placement (also known as implant surgery) is a modern dental technique where an implant post (an artificial tooth root) made of high-quality Titanium is placed directly into the jawbone to replace a missing tooth root. Afterward, a porcelain crown is attached on top to create a complete tooth with the shape and function of a real tooth.



