What are Porcelain Veneers?
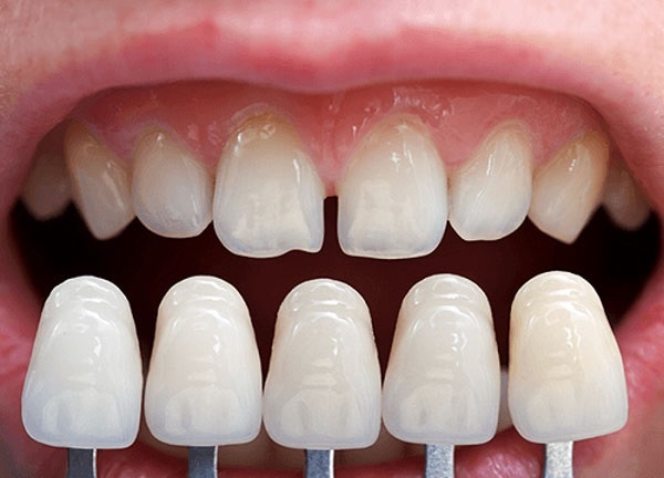
Porcelain Veneers, or Laminate Veneers, are a modern cosmetic dental method aimed at maximally preserving natural teeth. The dentist only prepares the outer surface of the natural tooth and applies a thin porcelain shell, crafted from Cercon or Emax porcelain blocks, with a thickness of only 0.3 – 0.5mm.
The veneer acts like a perfect mask to cover the natural tooth. The purpose of porcelain veneers is not only to restore the bright white beauty of your teeth but also to do so without affecting the normal chewing function of your natural teeth.
When applying Porcelain Veneers, the dentist will use a special adhesive to bond the veneer to the surface of your natural tooth. The porcelain will then adhere to the front of the tooth to change its color, shape, and size based on the veneer template.
This is a gentle procedure that does not cause sensitivity or pain, making it very popular among clients. However, porcelain veneers are only suitable for certain specific cases.

